
冰镇冷饮冰淇淋体育游戏app平台
为冷链食品保鲜
……
干冰在宽泛活命中十分常见
但好多东说念主不知说念
干冰若储存、使用失当
便会“遁入杀机”
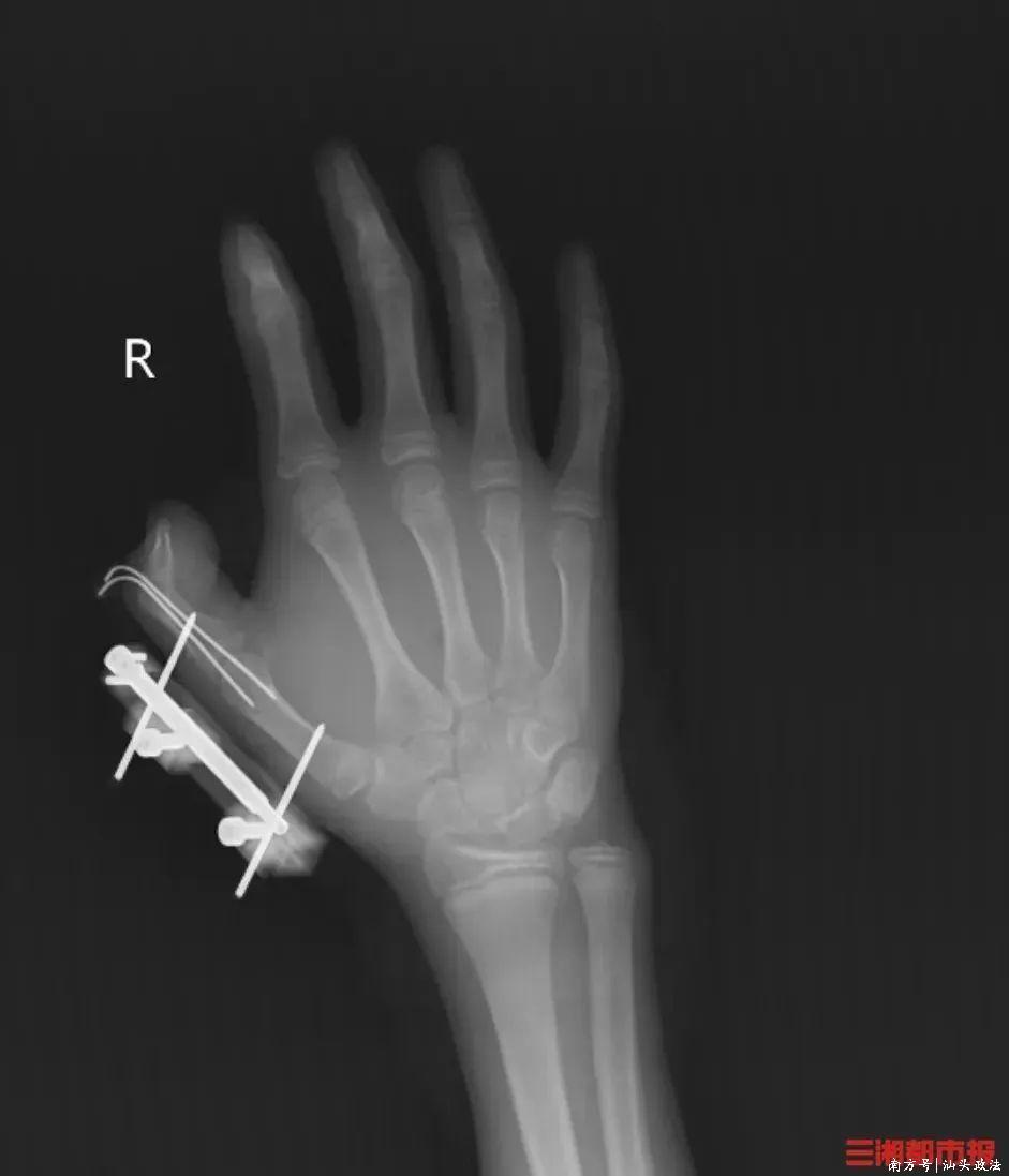
把干冰当玩物摇
14岁少年手指被炸得深可见骨
前不久,湖南又名14岁的少年维维(假名),在爸爸网购冰淇淋的箱子里发现了用于冷藏的干冰,便拿走当成玩物玩,抓在手里反复摇晃。
倏地,密封袋里的干冰发生爆炸,维维的右手倏地鲜血直流,拇指虎口处被撕开一起约10厘米的伤口,深可见骨,肌肉组织断裂外露,还伴跟着拇指骨折、要道脱位,统共拇指完全失去知觉。

见状,家东说念主马上带他到当地病院包扎,随后蹙迫转往湖南省东说念主民病院兄弟显微外科。经调理,维维的拇指保住了,但后续还需始终康复考试,智力逐渐规复手部精细算作功能。
维维消沉不已:“早知说念干冰这样危境,我统统不会去玩。”

干冰不是“冰”
爆炸威力堪比鞭炮
干冰,别号固态二氧化碳,经常为无毒无味的白色固体,神色不一。干冰在常温常压下,不错平直升华成二氧化碳气体,升华时体积膨偶而800-1000倍,加入滚水后会急剧加快升华产生大批烟气。
湖南省东说念主民病院兄弟显微外科主任陈建民先容,如若将干冰装在密封袋里摇晃,跟着气体束缚增加,袋子承受不住压力就会爆炸,爆炸产生的威力是平庸鞭炮的数倍,倏地的杀伤力辞谢小觑。
干冰使用失当
可能酿成致命危境
爆炸
在密闭容器中使用干冰:干冰在常温下易回荡为二氧化碳气体,导细致闭容器内压力升高,普及容器承受极限后产生爆炸。

图源:广东消防
在雪柜内舍弃干冰:干冰的升华温度约为-78.5℃,而雪柜冷冻室的温度在-4℃至-24℃之间,因此干冰放入雪柜后,会不时升华产生大批二氧化碳气体,致使雪柜里面压力过大,发生爆炸。

图源:广东消防
窒息
干冰升华后产生的二氧化碳气体会导致东说念主呼吸贫穷,如若在较封锁的空间内,短本事就可激发窒息,危及生命。
司机开车险窒息
元凶竟是后备厢的冷饮!
2024年夏,一须眉在驾驶车辆时突感躯壳不适,几近眩晕。上海闵行公老实局碧江路派出所接到其配头的他乡报警,将须眉送医急救。
原本,该须眉车辆后备厢中装了一箱冷饮,用干冰冷藏,因干冰发生升华,他在密闭车厢里吸入了过量二氧化碳,导致躯壳不适。

车辆后备厢里装了一箱冷饮。图源:闵行公安
冻伤
干冰是温度在-78.5℃以下的固态二氧化碳,平直斗殴皮肤会倏地带走热量,绝顶容易酿成冻伤,致使导致皮肤坏死,重则伤及肌肉、骨骼。
收到冷链包裹
怎么安全处分干冰?
别让孩子触碰
家长要把干冰放在孩子拿不到的处所,驻防儿童因为其“烟雾缭绕”而酷好把玩,明确告诉孩子干冰不是玩物。
拒却密闭空间
切勿将干冰存放在矿泉水瓶等密闭容器中,或保存在雪柜里;干冰要舍弃在透风考究的处所。
不要在汽车等密闭空间内存放使用干冰。
斗殴必戴防护
不要平直斗殴干冰,为幸免冻伤,可使用防冻手套或夹子拿取干冰。
受伤立即就医
1. 当东说念主体皮肤斗殴干冰后出现冻伤,应酬周围皮肤热敷并使用冻疮膏进行处分,若冻伤情况严重,应实时就医。
2. 一朝被干冰炸伤,应速即就医,以免踟蹰调理。
多少冰爆炸导致塑料、玻璃等包装碎屑刺入躯壳,应使其保持原位独立即就医,盲目拔出可能加剧损害。

教导:
收到干冰应透风舍弃妥善处分
密封存放或爆炸
徒手斗殴易冻伤
若失慎被干冰炸伤冻伤
请立即就医
开首:新华社、国度救急播送
三湘王人市报、天津疾控体育游戏app平台
